― 審美歯科で白く輝く歯を。審美歯科検索・口コミサイト ―
【医院情報受付窓口】
HOME
医院を検索
口コミをみる
審美歯科サーチについて
運営組織
東京都
>
東京23区
>
文京区
>
鍋山歯科クリニック
鍋山歯科クリニック
〒 112-0002 東京都 文京区小石川4-21-4 小石川安田ビル
https://www.nabe-dc.com/
症例・治療例
CR接着修復法治療例(1):22歳 女性
歯のすき間をふさぐ
治療前
就職活動を前に歯のすき間に悩んでいましたが、被せ物やラミネートべニアはやりたくないとのことで、CR接着修復法を希望されました。
治療後
審美的にも満足されています。お友達にもお母様にも良かったねと言われたそうです。
CR接着修復法治療例(2):52歳 男性
抜けた前歯をつくる(直接CR接着ブリッジ法)
治療前
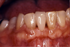
下の前歯が1本抜けてしまっていました。
治療後
両隣の歯に接着処理をおこない、口の中でCR(コンポジットレジン)を築盛して歯を一本作りました
CR接着修復法治療例(3):41歳 男性
抜けた奥歯を補う
治療前
奥歯が1本抜けてしまっています
前側の歯にCRを築盛して大きくします。
治療後
奥側の歯も同様に大きくし、欠損部をふさぎます。
TOPページ
院内・設備のご案内
医院へのアクセス
院長紹介
症例 治療例
医院への口コミ情報
医院ホームページ
医院情報について
医院情報受付窓口
口コミについて
改善カードの投稿について